
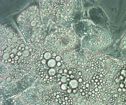
Our bodies are made up of both brown and white fat. White fat stores energy and produces hormones. Brown fat, once considered a mostly useless fat, has interested those looking for an obesity drug. Studies have found that lean people often have more brown fat than those who are overweight or obese. It may also be the more desirable type of fat because of its potential to burn calories.
New research from the University of Southern Denmark suggests that it may be possible to convert white fat to brown fat using the protein KLF11. Found in all fat cells, the protein can activate these cells to burn energy rather than storing. Creating a medication utilizing this process may help people who are obese lose weight. It may also reduce their risk of dangerous diseases like heart disease, stroke, and type 2 diabetes.
Read more at Medical Daily

